Знати поширені проблеми зі шкірою – отже мати можливість вилікувати їх на ранній стадії та запобігти тяжким хворобам внутрішніх органів.
Як визначити проблеми зі шкірою
У вас свербить шкіра, вона пошкоджена, покривається висипом чи дивними плямами? Запалення шкіри, зміна її рельєфу або кольору, поява плям може виникати через інфікування, механічне пошкодження та контакт з алергеном.
Якщо останнім часом ви помітили зміни шкіри, проконсультуйтеся та пройдіть огляд у дерматолога. Більшість патологій шкіри не є небезпечними, проте деякі з них можуть сигналізувати про серйозні захворювання організму.
Оперезуючий лишай
Поставте своє питання Дерматологу «ОН Клінік»
Багато виступаючих точок перетворюються на хворобливі пухирі, які сверблять, підвищують температуру тіла, поколюють і стають чутливими до дотиків. Оперезуючий герпес з'являється в будь-якій області тіла, але найчастіше на тулубі і сідницях.
Загострення триває 2 тижні, після чого настає самостійне лікування хвороби. Недуга піде, але деякі симптоми можуть залишитися: оніміння, біль та свербіж. Вони можуть вас мучити від кількох місяців до кількох років, аж до кінця життя.
Оперезуючий лишай лікується противірусними препаратами, мазями з глюкокортикоїдами, нестероїдними протизапальними засобами та антидепресантами.

Кропив’янка
Кропивний висип супроводжується появою піднятих над шкірою блідо-рожевих пухирів. Вони з'єднуються між собою, викликають відчуття печіння і сильно сверблять. Зовні це схоже на опік від кропиви. Кропивний висип з'являється в будь-якій частині тіла. Триває від кількох хвилин до кількох днів.
Причини виникнення гострої кропив'янки:
- харчова алергія, наприклад, арахіс, креветки, яйця або сир;
- алергія на фактори навколишнього середовища (пилок, пилові кліщі чи хімічні речовини);
- алергія на латекс, характерна для працівників галузі охорони здоров'я;
- інфекції: від банальних ГРВІ до ВІЛ;
- укуси комах.
Кропив’янка з'являється в результаті контакту організму та алергенів: антибіотиків, рентгеноконтрастних речовин, їжі, продуктів життєдіяльності комах або харчових добавок. Для лікування кропив’янки призначаються антигістамінні ліки та глюкокортикоїди.

Псоріаз
Щільні червоні плями на шкірі, що покриваються сріблястими або білими лусочками – типова ознака псоріазу. Недуга вражає всіх людей, незалежно від статі та віку, проте найчастіше хвороба виникає у віці від 15 до 25 років. Луска з'являється в результаті неправильної роботи імунної системи. Псоріатичні папули виникають на ліктях, колінах, попереку та шкірі голови.

Хвороба лікується антипсоріатичними засобами, імунодепресантами, фототерапією та психотерапією. Псоріаз важко піддається терапії: згодом хвороба набуває хронічного та повільно прогресуючого перебігу. Сучасні ліки усувають лише симптоми, але не причину. Запущений псоріаз може призвести до інвалідності.
Екзема
Екзема – це збірний термін для кількох патологій, які проявляються запаленням, почервонінням, свербінням та сухістю шкіри. Хвороба викликається подразниками (наприклад, милом чи кремом), алергенами та захворюваннями внутрішніх органів. Екзема з'являється на ліктях, долонях та у складках шкіри.

Для лікування екземи використовуються мазі з глюкокортикоїдами та антибіотиками, антигістамінні засоби та транквілізатори. Щоб запобігти екземі, слід загартовувати організм та лікувати хвороби органів шлунково-кишкового тракту.
Рожеві вугри
Захворювання характеризується почервонінням та розширенням поверхневих судин шкіри обличчя, набряком та висипом. Недуга провокується хворобами органів травлення, кліщами, гормональними порушеннями, ослабленням імунітету, надмірним сонячним опроміненням та алкоголем.

Розацеа розташовується на лобі, щоках, носі та підборідді. З прогресуванням хвороби товщає шкіра обличчя, виникають шишки та утворюються гнійні прищі. Рожеві вугри лікуються лазерною терапією, протимікробними ліками та антибіотиками.
Герпес
Вірус простого герпесу утворює на губах чи носі маленькі хворобливі бульбашки з рідиною. Перед появою бульбашок виникає свербіж, печіння шкіри, озноб та загальне нездужання. Герпес провокується:
- лихоманкою;
- надлишковим сонячним опроміненням;
- психоемоційними стресами;
- гормональними змінами.

Поки що немає специфічного лікування герпесу. Зараз лікарі застосовують противірусні препарати та генотерапію. Якщо на шкірі утворюються виразки з гноєм, які швидко поширюються по обличчю, піднімається температура тіла або болять очі, відчуваєте нездужання і сильний головний біль, зателефонуйте своєму лікарю. Так ви попередите ускладнення з боку головного мозку.
Опіки рослин
Контакт з борщівником, кропивою, пастернаком луговим або жовтцем викликає подразнення шкіри, свербіж, почервоніння та висипання. Через 12-72 години після дотику виникають хворобливі припухлості та пухирі. У середньому симптоматика триває від 1 до 2 тижнів.

Після контакту з небезпечною рослиною слід негайно промити шкіру теплою водою з милом. Після цього закрийте пошкоджену ділянку одягом або забинтуйте її. Це потрібно для того, щоб сонячне проміння не потрапило на шкіру. Якщо ви виявили опік через 1–2 дні після контакту, обробіть шкіру антисептиком та накладіть стерильну пов'язку. Якщо відчуваєте нездужання, підвищення температури або сильний головний біль, зверніться до свого лікаря.
Подразнення після гоління
Після гоління гострий край волоска може скрутитися і врости у шкіру. Це викликає біль, подразнення, прищі та інколи шрами. Щоб не дати волоссю врости та пошкодити шкіру, перед голінням прийміть теплий або гарячий душ. У процесі гоління ведіть лезо у напрямку зростання волосся і не відтягуйте шкіру, доки проводите бритву. Для більш м'якого контакту леза та шкіри використовуйте піну або крем для гоління. Після закінчення процедури змийте піну холодною водою і нанесіть зволожуючий крем.
Папіломи
Це маленькі сосочки тілесного або трохи затемненого кольору, які кріпляться ніжкою та звисають зі шкіри. З'являються на спині, під грудьми і на грудях, в ділянці пахвових западин, у паху. Папіломи найчастіше виникають у жінок середнього та похилого віку.

Утворення на шкірі не є небезпечними і несуть лише косметичний дефект (на відміну від папілом слизової оболонки носа, глотки, гортані, сечового міхура). Вони не болять і не запалюються. Якщо ви хочете позбутися папілом, зверніться до лікаря. Він видалить сосочки за допомогою малоінвазивних методів хірургії.
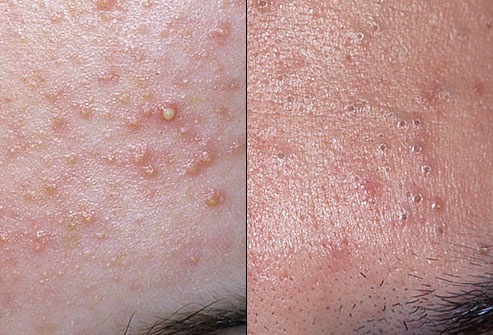
Прищі
Коли шкіра надмірно виділяє шкірне сало, закупорюються пори. Ділянка шкіри запалюється і на її місці утворюється прищ. Акне провокуються психоемоційними стресами, підвищеною вологістю, менструаціями та хворобами органів травлення.

Прищі можуть утворюватися на обличчі, грудях та спині – у місцях з найбільшою кількістю сальних залоз. Якщо давити прищі, на місці інфікується шкіра і можуть утворитися шрами. Щоб попередити акне, тримайте жирні ділянки шкіри в чистоті за допомогою мила.
Грибок стопи
Грибкова інфекція стопи відшаровує верхні шари шкіри, викликає почервоніння, свербіж та відчуття печіння. Патологія ускладнюється пухирями та запаленням. Це інфекційна хвороба, яка передається через прямий контакт. Наприклад, ви використовуєте спільні капці у басейні або сауні. Щоб запобігти грибковій інфекції, завжди беріть своє взуття в громадські місця.

Грибок стопи лікується протигрибковими засобами. Так як виникає свербіж, частими розчісуваннями ви можете пошкодити шкіру: на ній утворюються мікротріщини та ранки. Це може ускладнитися вторинною бактеріальною інфекцією. У такому разі лікар призначить антибіотики. У період лікування тримайте ноги в сухості та чистоті. Для цього використовуйте дезодоранти для стоп та мило.
Родимки
З'являються до 20 років життя на будь-якій частині тіла. Родимки (невуси) забарвлені у чорний або коричневий колір. Виникають по одній або зливаються до груп. З часом текстура родимок змінюється: можуть підніматися над поверхнею шкіри або змінюватись у кольорі. Розміри родимок варіюють від 0.5 мм до 1 см у діаметрі.
Причини розвитку родимок:
- спадкова схильність;
- довге перебування під сонцем;
- гормональні зрушення;
- висока доза іонізуючого випромінювання.
Щоб контролювати зміни родимок, щорічно проходьте огляд у лікаря. Якщо помітили, що у родимки нерівні краї або вона часто змінює колір, кровоточить чи свербить, негайно зверніться до лікаря. Так ви попередите меланому – небезпечне злоякісне новоутворення шкіри.
Якщо не отримувати надмірну дозу сонячних променів, невуси не є небезпечними і не вимагають лікування, але можуть нести косметичний дефект. У такому разі лікар може видалити родимку апаратом «Сургітрон» - нетравматичним радіохвильовим методом.
Вікові плями
Хоча ці плями і виникають із віком, вони не викликані старінням. Вони утворюються, якщо надто довго перебувати на сонці і не використовувати захисні креми. Пігментні плями з'являються на руках, зовнішній стороні долоні та обличчі. Щоб позбутися їх, використовуйте засоби для шкіри або пілінг. Вікові плями можна легко сплутати з меланомою – рак шкіри. Щоб унеможливити рак, пройдіть огляд у лікаря.

Рожевий лишай
Найчастіше страждають люди від 10 до 35 років. Недуга починається безневинно: на тілі виникає одна папула рожевого кольору діаметром 2 см. Це материнська бляшка, центральна частина якої набуває жовтого відтінку. Вона зморщується і лущиться. Через кілька днів після першої папули на тілі з'являється безліч овальних рожевих плям, що сверблять діаметром від 0.5 до 1 см. Це не заразна хвороба: вона виникає через послаблення імунітету. Через 2 місяці лишай виліковується самостійно.

Мелазма
Це доброякісна пігментація шкіри. Мелазма проявляється коричневими плямами на носі, лобі, підборідді та щоках. Патологія часто виникає у вагітних, тому називається маскою вагітності, проте чоловіки теж страждають на мелазму. Після народження дитини колір шкіри відновлюється. Якщо після цього мелазма не пішла, зверніться до лікаря. Він призначить препарати на основі саліцилової кислоти, лазерний пілінг або процедуру фотоомолодження. Симптоми мелазми можуть посилюватися під впливом прямого сонячного проміння, тому перед виходом на вулицю використовуються сонцезахисні креми.

Бородавки
Це новоутворення шкіри, що виникають через інфікування вірусом папіломи після прямого контакту із хворим. У здорової людини імунітет стримує розвиток вірусу. Однак за його ослаблення інфекція активується.
Бородавки виникають у людей різного віку. Вони мають вигляд сухих обмежених піднесень із нерівними краями. Їхні розміри варіюються від шпилькової головки до вишні. Бородавки виникають по одній або зливаються до груп. Підошовні бородавки з'являються в місцях тертя стопи та взуття. Люди, які страждають надмірною пітливістю, мають вищий шанс розвитку бородавки.
Ці новоутворення нешкідливі, але можуть заважати ходити чи виконувати ручну роботу. Якщо вони знижують якість життя або працездатність, зверніться до лікаря. Він призначить препарати на основі саліцилової та трихлороцтової кислоти, або видалить новоутворення малоінвазивними методами – електрокоагуляцією або кріодеструкцією.
Себорейний кератоз
Це доброякісна пухлина шкіри. Себорейні кератоми виникають у будь-якій частині тіла, крім підошв та долонь. 80% випадків хвороби припадає на людей старше 50 років. Себорейний кератоз проявляється жовто-коричневими плямами, які згодом темніють і трансформуються у опуклі бляшки. Діаметр кератом варіює від 2-3 мм до кількох см.
Недуги провокуються надмірним сонячним опроміненням, спадковою схильністю, вірусом папіломи людини та дефектами імунної системи.
Себорейний кератоз лікується малоінвазивними методами: електрокоагуляцією, кріодеструкцією, кюретажем чи лазерним видаленням.
У нашого блогу є власні канали в телеграмі та вайбері, в яких ми розповідаємо корисні та цікаві речі про здоров'я. Підписуйтесь, щоб зробити турботу про власне здоров'я та здоров'я сім'ї комфортною та легкою.
Дерматологія в Дитячому відділенні в Миколаєві
Дерматологія ОН Клінік в інших містах
Популярні питання
Для лікування пігментних плям можуть застосовуватися лікарські препарати та апаратні косметологічні методики (ультразвуковий вплив, фонофорез). Метод лікування пігментних плям обирає дерматолог залежно від їхньої локалізації, обширності та причини виникнення.
Лікування червоних плям на шкірі залежить від причини їх виникнення. Для зняття запалення можуть бути рекомендовані протизапальні препарати, за наявності алергії – протиалергічні. Якщо причиною появи плям на шкірі є грибкова інфекція, лікар призначить протигрибковий препарат.
Поява білих плям на шкірі може бути обумовлена низкою причин: післязапальною пігментацією (втратою пігменту), розвитком псоріазу, грибкового дерматиту. Визначити вид висипу та поставити діагноз може дерматолог після візуального огляду шкіри.